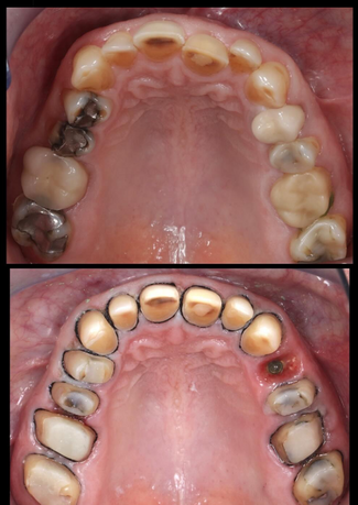
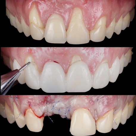
About Dr. Stavros Pelekanos
Dr. Stavros Pelekanos received his undergraduate degree in Dentistry (D.D.S.) in 1991 from the National and Kapodistrian University of Athens, Greece. In 1993, he obtained his doctoral degree in Prosthodontics (Dr med dent) from the University of Freiburg (Prof. Dr. J.R. Strub), Germany. Following his professional training, Dr. Pelekanos established a private practice in Athens, oriented towards prosthodontics, implantology and esthetic dentistry. In 2002, he was appointed full-time Lecturer at the Department of Prosthodontics, Dental School, University of Athens, Greece, and is now Assistant Professor in the same department. Since 2013 Dr. Pelekanos is an active member of the European Academy of Esthetic Dentistry (EAED).
His professional affiliations include also: the International College of Prosthodontics (ICP), European Prosthodontic Association (EPA) and Greek Prosthodontic Association. He is a faculty member of gIDE Institute (Global Institute of Dental Education, Los Angeles, California). In 2008 and 2011, Dr. Pelekanos received second and first prize at the scientific award competition of the European Academy of Esthetic Dentistry held in Madrid, Spain and Istanbul, Turkey respectively. To date he has published over twenty articles, two chapters in books and lectures nationally and internationally.





My work
Career highlights
1991
Graduation
Undergraduate degree in Dentistry (D.D.S.) from the National and Kapodistrian University of Athens, Greece.
1993
Freiburg, Germany
Doctoral degree in Prosthodontics (Dr med dent) from the University of Freiburg (Prof. Dr. J.R. Strub), Germany.
2002
Lecturer
2008
Awards
Appointed full-time Lecturer at the Department of Prosthodontics, Dental School, University of Athens, Greece
Second award competition of the European Academy of Aesthetic Dentistry held in Madrid, Spain.
2011
Awards
First prize at the scientific award competition of the European Academy of Aesthetic Dentistry held in Istanbul, Turkey.
To date
Nowadays
Published over twenty articles, two chapters in books and lectures nationally and internationally.













